주메뉴로 가기 본문으로 가기 하단으로 가기
이전

정형외과

다음

고관절 (엉덩관절) 클리닉

고관절은 우리 몸의 관절 중 가장 큰 관절로, 견관절에 이어 우리 몸에서 두번째로 운동 범위가 큰 관절입니다. 다른 관절과 달리 고관절은 매우 깊숙히 위치하며, 주변에 다양한 연부조직이 있기 때문에 고관절의 통증을 호소하는 환자에 대한 진단은 종종 쉽지 않습니다. 따라서, 고관절 통증이 있을 경우, 고관절을 전문적으로 다루는 의사에게 정확한 진단을 받는 것이 필수적이며 진단에 따른 적합한 처방과 치료가 매우 중요합니다.

중앙대학교 관절센터 고관절 클리닉에서는, 고관절에 발생하는 대표적 질환인 ‘고관절염’, ‘대퇴골두 무혈성 괴사’, ‘고관절 및 골반주위 골절’, ‘비구 이형성증’ 을 비롯하여 다양한 고관절 주위 병변에 대해 최신 치료를 적용하여 환자 개개인의 상황에 맞춘 원칙에 따른 진료를 시행하고 있습니다.

다음은 본원에서 활발하게 시행되고 있는 술식입니다.

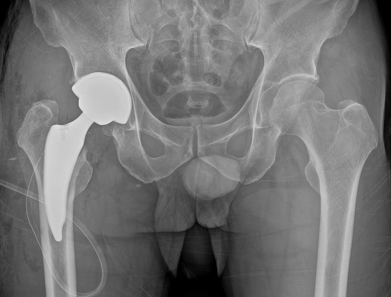
고관절 인공관절술 (치환술)

고관절 인공관절술 (치환술)은 외상 및 다양한 질환에 의해 고관절이 손상되어 보행이 어려운 환자에게, 손상된 관절을 재건하여 원활한 환자의 보행을 가능케 하는 수술입니다. 1950년경부터 시작된 현대 인공관절은, 정형외과 내에서도 그 역사가 가장 오래된 수술 중 하나로, 다른 어떤 정형외과 수술보다도 만족스러운 결과를 보고하고 있습니다.

손상된 관절 대신 인공관절을 삽입하여 통증을 완화해주고 경직된 운동범위를 확보하는 고관절 인공관절은 주로 관절염, 대퇴골두 무혈성 괴사, 고관절 골절 등에서 시행될 수 있습니다.

직접 전방 도달법 (Direct Anterior Approach) 을 통한 최소 침습 인공관절술

중앙대학교병원에서는 고관절 인공관절 술식에 있어 최근 세계적으로 주목받고 있는 수술법 중 하나인 직접 전방 도달법 (Direct Anterior Approach) 을 활발히 시행하고 있습니다.

고관절 인공관절치환술 직접전방도달법이란 고관절 인공관절치환술을 시행하는 환자에 대해 둔부쪽 근육을 절개하는 대신 고관절 앞쪽, 즉 전방 근육사이로 접근하는 방식으로, 기존에 주로 이용되던 후방접근법과 달리 근육을 절개하지 않고 근육 사이로 접근하기 때문에 인공관절의 탈구율이 현저하게 낮으며 수술 후 회복에 있어서도 수술 다음날부터 바로 보행이 가능하여, 기존 수술법보다 훨씬 빠른 기능 회복이라는 장점이 있습니다.

최소절개 인공관절술

위에서 소개한 고관절 인공관절치환술 직접전방도달법 외에도, 기존의 절개법과 비교하여 최소 절개를 기본으로 한 환자 개개인에 특성에 맞춘 인공관절 술식을 적용하고 있으며 이를 통해 수술로 인한 감염 위험을 최소화하고 빠른 회복을 통한 입원기간 단축을 목표로 하고 있습니다.

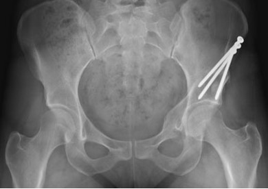
고관절 이형성증 : 비구 성형술 (비구 절골술)

고관절 이형성증이란 출생시부터 발생한 고관절 비구 부분의 발육저하로 인해, 성장에 따라 대퇴골두를 덮고 있는 비구 부분에 결손이 발생하는 질환으로 추후 고관절 관절염의 주요한 원인이 될 수 있습니다. 특히 서구권에 비해 국내에서 그 빈도가 높습니다.

대부분의 병원에서 이에 대해 인공관절 수술을 권유하나, 관절염이 진행하기 전 질병의 초기에 적절한 진단을 한다면, 환자 본인의 관절을 유지하면서 비구를 적절한 형태로 성형하는 방법으로 질병의 진행을 막을 수 있습니다.